当前位置:主页 > 银屑病中心 > 寻常型银屑病 > 牛皮癣(银屑病)作为疑难重症皮肤疾病,治疗难度大,周期长,往往反复发作,而反复的寻医问药又会造成经济压力,患者只有选对好医院,选对好医生,采用科学的治疗方法,从根本上治愈牛皮癣,才能解决因反复治疗带来经济压力。
一、牛皮癣治疗费用构成
广州肤康银屑病专科医生吴月志指出:银屑病作为疑难重症皮肤病,治疗费用包括:检查费、中西药费、综合光疗费用等(重症需住院费及护理费用)。
在费用个人核算方面,由于牛皮癣分型较多(寻常、红皮、脓包、关节等),个人的病情程度也难免有差异,选择的检查项目和治疗方案也有很大差别,需要按个人情况单独核算。
吴月志称,很多牛皮癣患者由于多年求医,造成严重的经济压力,只有选择好的医院,采用科学的方法治愈,才能解决治疗费用较多的实际问题。
如果患者对我院牛皮癣治疗费用需要了解,可在线预约或拨打电话020-8177 9225首先进行初次评估,或到院直接在线预约以及和康复病友咨询。
二、你的牛皮癣治疗费用为何高
广州肤康银屑病专科吴月志在皮肤病临床上工作了20余年,诊治过上万名牛皮癣患者,吴月志指出,多数患者由于盲目求医、听信偏方、选择不科学的治疗办法、长期乱用药物,不从根本上治疗,造成严重的经济压力。
吴月志称,去年1月接诊了一个牛皮癣患者,是广州市荔湾区人,家长为了给身患牛皮癣的儿子看病,17年间,他们夫妻俩带着孩子跑过北京、上海、最远的是听人讲西藏有秘方,带孩子去西藏,孩子产生严重的高原反应,回来后病情加重,而光十几年的路费,花费近十万元。
后来到了广州肤康银屑病专科,检查后发现,除了满身的寻常型牛皮癣,其关节部位已经开始变形,伴发关节型牛皮癣,经过医院50天的治疗,其病灶脱落,七月到院复诊无复发。

三、好医院、好技术成就好疗效
作为广州市首家银屑病专业治疗医院,广州肤康银屑病专科依据多年的临床经验和探索,以“岭南中医独家中药组方”为特色,结合药离子渗透技术、中医药熏蒸理疗、紫外线光疗技术,独创的“中西渗透抗癣疗法”银屑病专项治疗技术,在临床治疗各类牛皮癣中,取得重大突破。
“中西渗透抗癣疗法”荣膺“2015皮肤病学诊疗新技术推广大会”牛皮癣诊疗推广技术。
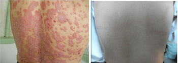
治疗18天后,患处皮肤颜色由深变浅,皮肤逐渐变得平滑、有弹性,鳞屑减少,皮肤恢复50%;28天后:患处皮肤基本恢复正常,鳞屑、皮疹完全消失;巩固治疗40天后:顽癣消退,肌肤濡润光泽且富有弹性,皮肤恢复正常。
四、肤康透明收费 百姓放心
广州肤康银屑病专科严格按照上级主管部门、物价部门制定的收费标准执行,同时严格按照卫生主管部门要求进行价格门诊公示,开通费用查询,打造市民满意的平价医院。

牛皮癣作为疑难皮肤疾病,治疗需要科学规范,分型、分期,选择合适的治疗方法,才能针对性治疗,节省费用。如果还需了解我院牛皮癣治疗的相关信息,可点击在线预约或或拨打免费挂号专线:020-8177 9225,由医生帮你解答。